Huntington Beach, CA 92648
& Implant Surgery
Periodontal Surgery
Periodontal Regeneration Procedure
A procedure where bone is regenerated along the root surface of a tooth.
Osseous Periodontal Surgery
When deep pockets between teeth and gums (6 millimeters or deeper) are present, it is difficult for a dentist to thoroughly remove the plaque and tartar. Osseous periodontal surgery is a procedure where the gum flap is lifted away from the tooth. Diseased tissue and sometimes bone is removed. The rough surfaces of the tooth are then smoothed by root planing. The area is medicated and the gum flap is replaced and sutured allowing the bone and gum tissue to heal.
One of the goals of osseous periodontal surgery is to reduce the depth of the periodontal pockets to make them easier to keep clean.
Functional Crown Lengthening
Periodontal procedures are available to lay the groundwork for restorative and cosmetic dentistry and/or to improve the esthetics of your gum line. Your teeth may actually be the proper lengths, but they are covered with too much gum tissue. Crown lengthening is a procedure to correct this condition.
During this procedure, excess gum and bone tissue is re-shaped to expose more of the natural tooth. This can be done to one tooth, to even your gum line, or to several teeth to expose a natural, broad smile.
Crown lengthening can make a restorative or cosmetic dental procedure possible. Perhaps your tooth is decayed, broken below the gum line, or has insufficient tooth structure for a restoration, such as a crown or bridge. Crown lengthening adjusts the gum and bone level to expose more of the tooth so it can be restored.
Bone Regeneration
When a tooth is lost, both bone and gum tissue compete for the vacant space. The gum tissue generates more quickly than bone, subsequently occupying the space. With a membrane placement we can keep the gum tissue from invading the space, which will ideally give the bone sufficient time to regenerate. Bone regeneration is often used to rebuild the supporting structures around the teeth, which have been destroyed by periodontal disease. Bone surgery may be used to attempt to rebuild or reshape bone. Grafts of the patient's bone or artificial bone may be used, as well as special membranes.
Frenectomy
If a patient has an excess amount of tissue that connects the lower and upper lips to the jaw and gum line, a frenectomy procedure is performed to remove the excess tissue. A frenectomy is either performed inside the middle of the upper lip, which is called a labial frenectomy, or under the tongue, called a lingual frenectomy. Frenectomy is a very common dental procedure in the dental world and is performed both on children and adults.

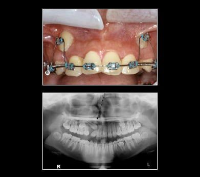
Impacted Canine
Canine teeth are also commonly referred to as cusped or "eye teeth" since the teeth align under your eyes. You should have two canines in both your upper and lower jaw. They are the strongest teeth you have, used for tearing into your most meaty meals. Because of this need for strength, your canines have the longest roots of all your teeth. They are an essential part of your bite and balanced smile for two main reasons:
- Your Bite
Due to their length, the canines guide your other teeth together when chewing and biting. Canines are essential for maintaining a proper bite. - Your Appearance
Without canines, large gaps appear in your smile. This can lead to your other front teeth becoming twisted or crooked.
Your canine teeth are generally some of the last teeth to erupt. Occasionally they do not erupt. The two most common reasons are:
- Overcrowding in your mouth
Extra teeth or a small jaw can cause the space where your canines are supposed to come in to be very small, resulting in impaction, or failure to erupt. - Abnormal growths
Tissue may have developed in your jaw that prevented your canines from reaching the surface.
The fact that teeth don't always come in like they're supposed to highlights the need for regular dental visits when young teeth are developing. If you suspect your child has impacted canines, don't hesitate to make an appointment with Dr. Peter Russo. With regular dental visits, x-rays and examinations, the problem of impacted canines can be found out early when treatment is easier. If you are an adult and your canines have not erupted Dr. Peter Russo can help. Set an appoint today for an x-ray and consultation. Your smile is up there waiting for you.
Treatment for Impacted Canines
After assessing your situation, Dr. Peter Russo will devise a plan to make room for your canines. Will a typical oral surgery and the assistance of an orthodontist your canine will find their way into their proper place over time.
"Dr. Russo was more than capable and wonderful at helping me achieve that smile."
- Michelle
Schedule An Appointment