Huntington Beach, CA 92648
& Implant Surgery
Cosmetic Periodontal Surgery
Crown Lengthening
Crown lengthening is a surgical procedure that re-contours the gum tissue and often the underlying bone of a tooth. Crown lengthening is often for a tooth to be fitted with a crown. It provides necessary space between the supporting bone and crown, which prevents the new crown from damaging bone and gum tissue.
Soft Tissue Grafting
Root exposure resulting from gingival tissue recession may pose multiple problems for patients:
- Undesirable Aesthetics
- Root Sensitivity
- Impaired Oral Hygiene
- Increased Caries Susceptibility
- Teeth May Become Loose
A gingival tissue graft will restore the proper gum tissue structure around the tooth.


Allograft
What Can We Accomplish Without Using Your Own Tissue?
- Full Upper Arch Gum Grafting
- Human Donor Tissue Use (Allograft)
- No Palatal Site
- Less Discomfort
- Unlimited Number of Teeth Can Be Grafted
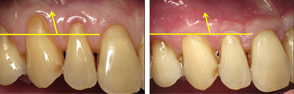
Masking Recession on Crown Margins
Pre-Op:
Recession 3-4mm Implants and Crowns
Lack of Attached Gingiva
Difficult to Clean
Poor Aesthetics
Post-Op:
Gain of 3-4mm Implant/Crown Coverage
Gain of Attached Gingiva
Thicker, Healthier Tissue
Easier to Clean
Improved Aesthetics

Schedule An Appointment